ΥΠΗΡΕΣΙΕΣ

Ως ορθοπεδικός χειρουργός, δραστηριοποιούμαι,
μεταξύ άλλων, ​στους παρακάτω τομείς της ορθοπεδικής:

  • συνδεσμικές κακώσεις γόνατος (ρήξη χιαστού, μηνίσκου)
  • αθλητικές κακώσεις
  • χόνδρινες βλάβες γόνατος
  • αρθροσκοπική χειρουργική γόνατος και ώμου
  • ολοκληρωμένη αντιμετώπιση αρθρίτιδας γόνατος και ισχίου
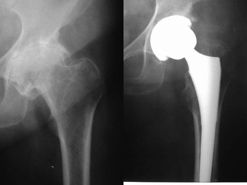
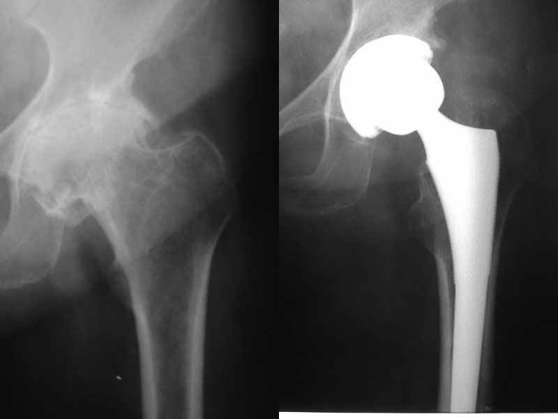
  • ολική αρθροπλαστική γόνατος και ισχίου
  • αναθεώρηση αρθροπλαστικής γόνατος και ισχίου
  • οστεοπόρωση, παθήσεις σπονδυλικής στήλης
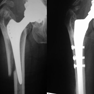
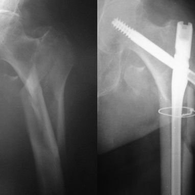
  • τραυματολογία, συντηρητική και χειρουργική αντιμετώπιση καταγμάτων
  • χειρουργική άκρας χειρός
  • σύνδρομο καρπιαίου σωλήνα, εκτινασσόμενος δάκτυλος
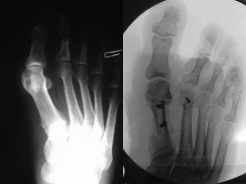
  • παθήσεις άκρου ποδός, βλαισός μέγας δάκτυλος «κότσι»
  • βιολογική θεραπεία με αυτόλογους αυξητικούς παράγοντες PRP
  • ενδαρθρικές εγχύσεις υαλουρονικού οξέος
  • δυνατότητα για έλεγχο με ακτινογραφίες κατ' οίκον

 


Μετά από δεκαετή νοσοκομειακή εμπειρία ως επιμελητής σε δευτεροβάθμια αλλά και τριτοβάθμια νοσοκομεία αναφοράς, είμαι σε θέση να αντιμετωπίσω όλο το φάσμα των ορθοπεδικών παθήσεων, όπως θα αντιμετωπίζονταν σε ένα υψηλού επιπέδου νοσοκομείο. Έχω μάθει από την εκπαίδευσή μου να αποφασίζω για τη θεραπεία κάθε ασθενή χωριστά, όπως θα αποφάσιζα για τον εαυτό μου ή έναν δικό μου άνθρωπο. Αυτό το κριτήριο με βοηθάει να προτείνω σε κάθε ασθενή ένα πλάνο αντιμετώπισης του προβλήματός του με ρεαλιστικούς στόχους και κόστος. Η εμπειρία μου από τα ιατρεία και τα χειρουργεία του νοσοκομείου,​ μου δίνει τη δυνατότητα να αντιμετωπίσω ολοκληρωμένα τον ασθενή, από τη συντηρητική προσέγγιση μέχρι το χειρουργείο, αν χρειαστεί.